近日,重庆医科大学附属璧山医院(重庆市璧山区人民医院)呼吸与危重症医学科介入团队在硬质支气管镜辅助下,成功为一位62岁气管极重度狭窄的女性患者,快速精准置入金属覆膜支架,术后患者呼吸困难明显缓解,为患者后续治疗创造了机会。
刘奶奶1年前确诊为食管癌,此次因突发呼吸困难紧急入院,经过胸部CT检查,快速找到了刘奶奶呼吸困难的原因,发现患者是因为食道癌压迫引起气道的狭窄。我院呼吸与危重症医学科与麻醉科紧密合作,迅速为患者置入金属覆膜支架。手术效果显著,术后患者气管狭窄问题得到有效缓解,呼吸困难明显改善,患者转危为安,为患者进一步的治疗创造了机会。

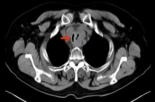
CT下见主支气管极重度狭窄

气管镜下主支气管仅见一缝隙

气管支架植入术后
该技术的顺利开展,不仅迅速解决了患者呼吸困难的问题,提高了患者的生存质量,也展现出呼吸介入团队的卓越能力。 重医附属璧山医院呼吸与危重症医学科将不断提升专业实力,为更多患者提供更优质的医疗服务。
健康科普
什么是覆膜支架?
覆膜支架是一种在金属支架表面覆盖特殊膜性材料(如聚四氟乙烯、涤纶、聚酯等)的支架。这种设计既保留了金属支架的支撑功能,又融合了膜性材料的优良特性,能有效防止肿瘤和肉芽组织长入腔内,避免再次狭窄。同时,它还能减少支架网眼对肿瘤的切割作用,降低出血和窒息的风险。
该技术的适应症:
气管、支气管狭窄(包括肿瘤性狭窄和良性狭窄)。
气管、支气管瘘(包括气管食管瘘和支气管胸膜瘘)。
技术优势:
1.微创性:通过人体自然气道腔道进行操作,创伤小,术后疼痛轻,恢复快,住院时间短。
2.快速改善通气:能迅速缓解患者的缺氧、喘憋等症状。
3.可重复性:若支架移位或再狭窄,经评估后可再次通过介入手段调整支架。
术后注意事项:
1.密切监测:定期检查生命体征,及时发现呼吸困难加重、缺氧等异常表现。
2.鼓励咳嗽咳痰:促进呼吸道分泌物排出,防止痰液堵塞支架,同时避免剧烈咳嗽导致支架移位,保持气道湿润,减轻炎症反应。
3.定期复查:通过胸部影像学检查、支气管镜检查等方法,观察支架位置、气道通畅情况及有无并发症。
编辑:王光建 责编:张小驹 审核:宋岩